
Транспортная питательная среда ТПС-1
Жидкостная цитология — инновационная альтернатива традиционному цитоисследованию. Сегодня она признана наиболее информативным способом получения биологического материала и рекомендована в качестве «золотого стандарта» диагностики интраэпителиальных неоплазий слизистой цервикального канала и влагалищной части шейки матки.
Преимущества метода:
- снижение процента потери клеточного материала;
- длительный срок хранения биологического материала;
- снижение ошибок преаналитического этапа (стандартизация приготовления и окрашивания цитологических мазков);
- повышение качества цитологического препарата;
- возможность повторного исследования и/или применения дополнительных методик.
Сравнение традиционной и жидкостной цитологии
| Параметр | Традиционная цитология | Жидкостная цитология |
|---|---|---|
| Фоновые элементы | Обильное количество | Минимальное количество |
| Распределение материала на стекле | Неравномерное | Равномерное |
| Окрашивание | Неравномерное | Равномерное |
| Сохранность материала | Появление артефактов при нарушении правил транспортировки | Полная |
| Качество препарата | Часто неадекватное | Стандартизованное |
| Возможность дополнительных методик | Ограниченно, трудоемко | Возможно (ПЦР, ИЦХ, cell‑block) |
Существенные недостатки метода связаны с расходными материалами, а именно с представленными на рынке транспортными средами. Во-первых, влияние консервантов транспортной среды приводит к изменению морфологии клеток. Во-вторых, из-за дегидратации клеток компонентами среды и уплотнения клеточных структур возникает привязанность к методу окраски.
Транспортная питательная среда ТПС-1 решает эти проблемы: она минимизирует агрессивное влияние на клетки благодаря отсутствию спиртовых консервантов и сохраняет морфологию клеток аналогичной традиционной цитологии, а её инновационный состав позволяет использовать различные методы окрашивания препаратов.
Преимущества ТПС-1:
- сохранение морфологии клеток до 7 дней при комнатной температуре;
- совместима с любым типом материала (соскобы, материал ТИАБ различных локализаций);
- совместима со всеми видами окраски (Романовского, Папенгейма, Лейшмана, Папаниколау, Май-Грюнвальд Гимзе, и др.);
- возможность дополнительных исследований (ИЦХ, ФИЦХ, ПЦР, NGS, cell-block).
Варианты фасовки ТПС-1
1,5 мл
Пункция мягкотканных образований — молочная и щитовидная железы, печень, лимфоузлы.

5,0 мл/10,0 мл
Пункция мягкотканных образований, соскобы с поверхностных опухолей в том числе шейки матки при заборе биоматериала урогенитальным зондом.

20,0 мл
Соскобы и мазки с поверхностных образований. Скрининг рака шейки матки. Комплиментарна любым щеткам.

Пример использования при пунктировании
фасовка 1,5 мл.
Первый шаг
Получение материала при тонкоигольной аспирационной биопсии.

Второй шаг
Внесение материала в среду ТПС-1.
- Внесение материала путем прокалывания крышки пробирки. Исключает любую возможную контаминацию.
- Аспирация раствора ТПС-1 для промывания иглы. Существенно увеличивает процент клеточного материала.
- Окончательное внесение материала.

Третий шаг
Приготовление цитологических препаратов, проведение дополнительных исследований (ИЦХ, ФИЦХ, ПЦР, NGS, cell-block).

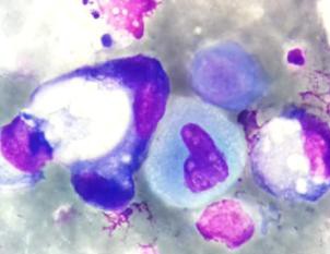
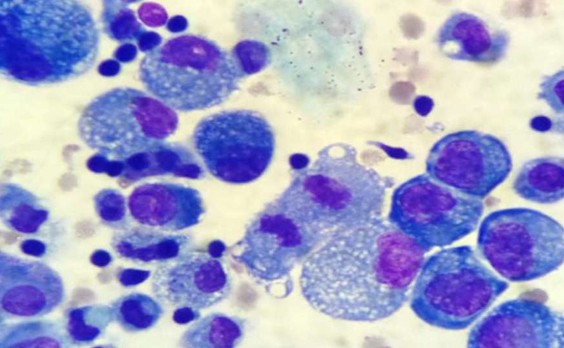
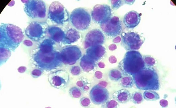
Интраоперационный соскоб с легкого




Интраоперационный соскоб с легкого
5 день в ТПС-1




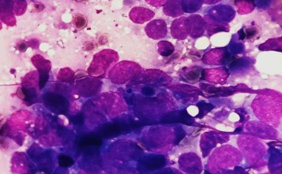
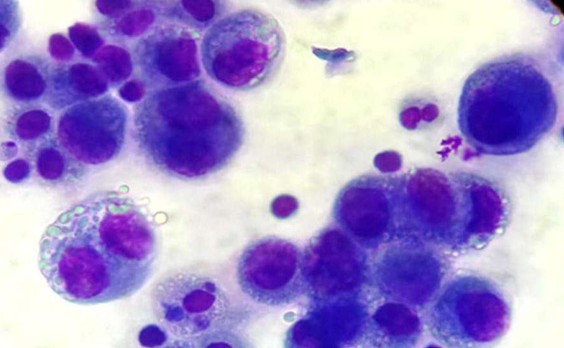
Осадок асцитической жидкости




Осадок асцитической жидкости
7 день в ТПС-1



